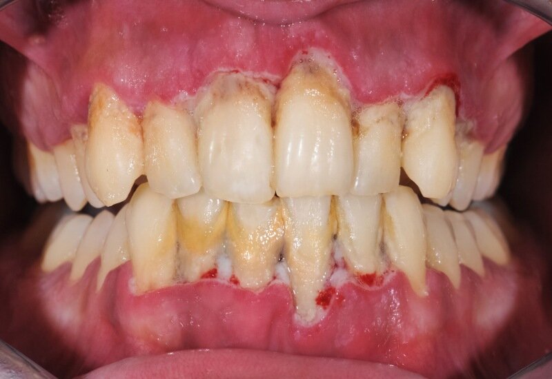
به گزارش همشهری آنلاین در مرحله اولیه بیماری لثه باکتریهای پلاک لثهها را تحریک میکنند و باعث میشوند که لثهها قرمز و متورم شوند و به راحتی به خصوص هنگام مسواک زدن یا نخ دندان کشیدن خونریزی کنند.
اگر ژنژیویت درمان نشود و پیشرفت کند به پریودنتیت تبدیل میشود. پریودنتیت در درجه اول ناشی از تجمع پلاک، یک لایه چسبنده از باکتریها است که روی دندانها تشکیل میشود. هنگامی که پلاک به طور منظم برداشته نشود، میتواند به جرم تبدیل شود که میتواند لثهها را تحریک کرده و منجر به التهاب شود. پیشرفت این بیماری باعث میشود که لثهها از دندانها جدا میشوند (عقبنشینی لثهها) و بافت زیرین نگهدارنده دندانها آسیب میبینند. این بیماری در ادامه میتوان به از دست دادن دندانها بینجامد.
البته عوامل دیگری مانند تغییرات هورمونی، عوامل ژنتیکی، سیگار کشیدن و برخی از بیماریها مانند دیابت هم ممکن است در ایجاد بیماریهای لثه و بافتهای اطراف دندانی نقش داشته باشند.
پریودنتیت میتواند قرمزی، تورم یا خونریزی لثه، لقی دندان، بوی بد دهان مداوم، درد یا حساسیت هنگام جویدن و چرک بین دندانها و لثهها بینجامد.
درمان پریودنتیت معمولاً شامل تمیز کردن حرفهای، جرمگیری و صاف کردن ریشه برای از بین بردن پلاک و جرم است. در برخی موارد، ممکن است مصرف آنتیبیوتیک یا جراحی ضروری باشد.
دندانپزشکان میتوانند بر اساس شدت بیماری، جرمگیری حرفهای، جرمگیری عمیق (جرمگیری و تسطیح ریشه) و سایر درمانها را ارائه دهند و در موارد شدیدتر ممکن است درمان جراحی لازم باشد.
برای پیشگیری از ایجاد پریودنتیت جرمگیری حرفهای هر شش ماه یکبار ضروری است. در صورت ابتلا به بیماری لثه، ممکن است نیاز به مراجعه مکرر داشته باشید.
رعایت بهداشت دهان و دندان، مانند مسواک زدن دو بار در روز، نخ دندان کشیدن منظم و مراجعه به دندانپزشک برای معاینات منظم، بسیار مهم است.
برای جلوگیری از پریودنتیت، رعایت عادات بهداشت دهان و دندان ضروری است، مانند:
-روزی دو بار با خمیر دندان حاوی فلوراید مسواک بزنید.
-به طور منظم نخ دندان بکشید.
-برای معاینات و تمیز کردن منظم به دندانپزشک مراجعه کنید.
-از سیگار کشیدن خودداری کنید.
– بیماریهای زمینهای که ممکن است در بیماری لثه نقش داشته باشند، درمان کنید.
Source link
پایگاه خبری ایده روز آنلاین
