به گزارش همشهری آنلاین داشتن مقداری چربی احشایی سالم و طبیعی است. همه این چربی را دارند. این چربی میتواند از اعضای داخلی شما محافظت کند. گاهی اوقات به آن «چربی فعال» میگویند، زیرا بر عملکرد بدن شما تأثیر میگذارد. اما چربی احشایی زیاد برای شما خوب نیست. این چربی بیشتر از سایر انواع چربیهای بدن با مشکلات سلامتی مانند دیابت، بیماری قلبی و سکته مغزی همراهی دارد.
در حالی که این نوع چربی ممکن است با داشتن شکم بزرگتری که از بیرون دیده میشود همراه باشد، اما در واقع شما نمیتوانید به طور مستقیم چربی احشایی را .ببینید. همچنین ممکن است شکم صاف و با چربی کم در دیواره آن داشته باشید، اما همچنان چربی احشایی درون شکم و اطراف اعضای درونی آن داشته باشید. اما معمولاً میزان چربی احشایی شما همراه با سایر چربیهای بدن شما افزایش مییابد.
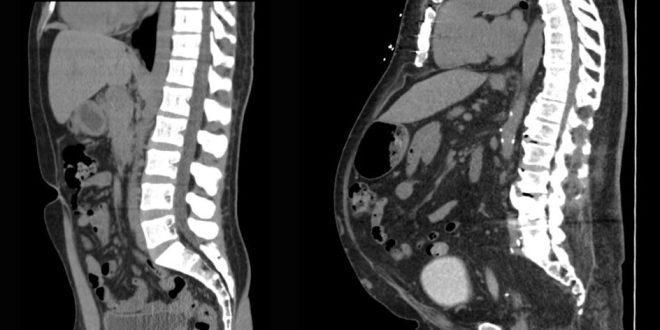
فقط با انجام اسکنهای گرانقیمت میتوان دقیقاً میزان چربی احشایی کرد. اما اگر میخواهید در خانه به طور تقریبی این عدد را به دست آورید، میتوانید از یک متر نواری ساده برای تخمین آن بر اساس اندازه دو کمر خود استفاده کنید.
چربی احشایی در برابر چربی زیرپوستی
زیرپوستی به معنای زیر پوست است. بنابراین چربی زیرپوستی، چربیای است که درست زیر پوست شما قرار دارد. ممکن است بیشتر از این نوع چربی را در اطراف باسن، ران و شکم خود داشته باشید.
شما میتوانید چربی زیرپوستی را به اصطلاح نیشگون بگیرید، اما نمیتوانید این کار را با چربی احشایی انجام دهید زیرا در زیر عضلات شکم شما خیلی عمیق است. ممکن است شما چربی زیرپوستی را در شکم و سایر قسمتهای بدن خود داشته باشید، اما چربی احشایی فقط در اعماق شکم شما، جایی که بیشتر اعضای داخلی شما قرار دارند، یافت میشود.
برای اکثر افراد، حدود ۹۰ درصد چربی بدن در زیر پوست بخشهای گوناگون بدن قرار دارد و ۱۰ درصد دیگر چربی احشایی است که در عمق شکم است.
خطرات سلامتی چربی احشایی
زیاد بودن هر نوع چربی بدن میتواند یک خطر برای سلامتی باشد. اما چربی نوع احشایی در مقایسه با چربی که درست زیر پوست شما قرار دارد، احتمالاً خطر ابتلا به مشکلات جدی پزشکی را افزایش میدهد. بیماری قلبی، آلزایمر، سرطان، دیابت نوع ۲، سکته مغزی و کلسترول بالا از جمله بیماریهایی هستند که به شدت با چربی احشایی زیاد درون شکم مرتبط هستند.
پژوهشگران معتقدند که چربی احشایی پروتئینهای خاصی را تولید میکند که بافتها و اندامهای بدن شما را ملتهب و رگهای خونی شما را تنگ میکند. این وضعیت میتواند باعث افزایش فشار خون و ایجاد مشکلات دیگر شود.
چربی احشایی و بیماری قلبی
مطالعات ارتباط بین چربی احشایی و بیماری قلبی را نشان دادهاند. به عنوان مثال، یک مطالعه نشان داد زنانی که بیشترین دور کمر را نسبت به اندازه دور لگن خود دارند، دو برابر بیشتر در معرض ابتلا به بیماری قلبی هستند. در غیر این صورت، زنان سالمی که سیگار نمیکشند، با افزایش ۵ سانتیمتری دور کمرشان، ۱۰ درصد افزایش خطر ابتلا به بیماری قلبی را تجربه میکنند. اما اکثر مطالعات چربی احشایی را به طور مستقیم اندازهگیری نمیکنند.
چربی احشایی و بیماری آلزایمر
مطالعه دیگری نشان داد افرادی که چربی شکمی و چربی احشایی بیشتری دارند، در مقایسه با افرادی که کمترین چربی شکمی را دارند، سه برابر بیشتر در معرض خطر ابتلا به زوال عقل از جمله بیماری آلزایمر هستند.
چربی احشایی و سرطان
مطالعات ارتباط بین چربی احشایی و سرطان، از جمله سرطان روده بزرگ، را نشان دادهاند. در یک مطالعه، افرادی که بیشترین چربی احشایی را داشتند، سه برابر بیشتر در معرض ابتلا به پولیپهای پیش سرطانی در روده بزرگ خود بودند.
چربی احشایی و دیابت نوع ۲
داشتن چربی احشایی بیشتر با مقاومت سلولها به هورمون انسولین (تنظیمکننده قند خون) مرتبط است که با خطر بیشتر ابتلا به دیابت نوع ۲ همراه است.
چربی احشایی و سکته مغزی
مطالعات نشان دادهاند افرادی که چربی احشایی بیشتری دارند، بیشتر در معرض سکته مغزی هستند. چربی احشایی همچنین با خطر بیشتر سکته مغزی در سنین پایینتر همراه است.
چربی احشایی و کلسترول بالا
چربی احشایی ارتباط مستقیمی با میزانهای بالاتر کلسترول خون از جمله کلسترول بد یا الدیال شما دارد.
چربی احشایی و فشار خون بالا
چربی احشایی همچنین با بیماری فشار خون بالا یا پرفشاری خون مرتبط دانسته شده است.
نحوه اندازهگیری چربی احشایی
هیچ راهی برای دانستن دقیق محل و میزان چربی احشایی شما بدون آزمایشهای تصویربرداری گرانقیمت وجود ندارد. بعید است که هرگز فقط برای اندازهگیری چربی بدن خود به این آزمایشها نیاز داشته باشید.
اما راههای آسانتری برای درک میزان چربی احشایی شما وجود دارد. از آنجایی که چربی احشایی معمولاً حدود ۱۰ درصد از کل چربی بدن را تشکیل میدهد، میتوانید بر اساس درصد کل چربی بدن خود، میزان آن را تشخیص دهید. اگر چربی کلی بدن شما بیشتر از مقدار توصیه شده بوسیله پزشک باشد، اغلب چربی احشایی بیشتری نیز خواهید داشت.
Source link
پایگاه خبری ایده روز آنلاین
